Best Dental Clinic in Jatrabari
If you’re looking for a trusted and long-experienced dental clinic in Jatrabari, then Tech Dental Care Jatrabari is your best destination. Recognized as one of the best dentists in Jatrabari Dhaka, we specialize in dental implants and smile makeover treatments
Meet the Expert Dentists in Jatrabari at Tech Dental
Meet the expert dentists in Jatrabari at Tech Dental! Our skilled team provides safe, effective, and personalized care for all your dental needs, from routine check-ups to advanced treatments. Visit us for quality care from the best dental experts in Jatrabari.

Dr. Hasna Hena Bhuiyan Nishi
Designation: Dental Surgeon at Tech Dental, Jatrabari Branch
BDS (DU)
PGT: Oral & Maxillofacial Surgery
Dhaka Dental College Hospital
Special Training In Aesthetic Dentistry
Dental Surgeon
Tech Dental, Jatrabari Branch
BMDC Reg No: 12808
Experiences: 03 Years
Visiting Time: 04.00PM – 9.00PM
Expertise: Dental Filling, Root Canal Treatment, Dental Crown & Bridge, Scaling & Polishing, Single Visit Tooth Gap Correction, other oral and dental health problems
Our Dental Services
We love our work and care for your smile. Thanks for trusting us!
Dental Treatments Price List in Jatrabari Dhaka
Get the updated 2025 dental treatment price Range in Jatrabari, Dhaka
- Consultation Fee 500 BDT
- Ultrasonic scaling 1,900 BDT - 4,000 BDT
- Dental Polishing 500 BDT - 2,000 BDT
- Composite Filling (Per Tooth) 900 BDT - 3,000 BDT
- Direct Composite Veneers (Per Tooth) 3,000 BDT - 6,000 BDT
- Root Canal Treatment (RCT) 4,000 BDT - 12,000 BDT
- Porcelain Fused to Metal - PFM (Per Tooth) 4,000 BDT -8,000 BDT
- Zirconia Crown (Per Tooth) 10,000 BDT - 20,000 BDT
- Fiber Bridge (Missing Teeth Replacement) 15,000 BDT - 30,000 BDT
- Extraction 1,500 - 12,000 BDT
- Orthodontic Treatment (Braces) 40,000-70,000 BDT
- Dental Implants 60,000-80,000 BDT
Meet Our supporting staff

Sheikh MD. Ariyan
Dental Assistant
How to Reach Tech Dental Jatrabari Branch

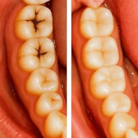
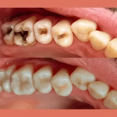
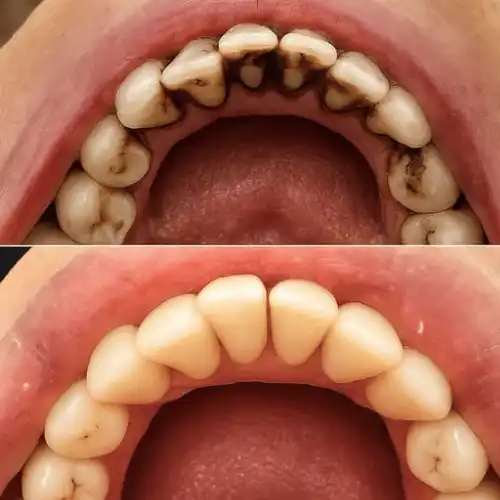
Treatment Before After Picture





Patient Video Review
Tech Dental Modern Advanced Dental Technology
Tech Dental brings you modern dental care with Digital X-Ray, Intraoral Cameras, Live Patient Portal, and 4-Step Sterilization — ensuring safe, precise, and patient-friendly treatment.
Digital X-Ray (RVG)
Instant & Precise Imaging

Our advanced RVG digital X-ray system delivers crystal-clear images with minimal radiation, ensuring fast and accurate diagnosis for every patient.
Intra Oral Camera
High-Resolution In-Mouth Imaging

Tiny yet powerful cameras provide real-time, high-definition visuals inside your mouth—helping dentists detect hidden issues while keeping you fully informed.
Live Patient Portal
Smart Digital Experience

Our patient portal on TV screens keeps you connected—view treatment plans, upcoming appointments, and educational content right in the clinic.
4-Step Sterilization
Uncompromised Hygiene Protocol

Our advanced 4-step sterilization process guarantees the highest standards of safety, ensuring every instrument is 100% clean and patient-ready.
Our Patients Love Us – Read Their 5-Star Google Reviews
Discover why our patients are smiling! Check out genuine Google reviews from satisfied patients who trust our care.



Contact Us
Have questions or need help? Get in touch with us today – we’re here to assist you!
Clinic Hours
Get In Touch
- 09638-000505
- 31/C, Shahid Faruk Sharok, Jatrabari
Make An Appointment
Why Tech Dental Jatrabari is the Most Trusted Dental Clinic
Advanced Dental Technology
Advanced Dental Technology
At Tech Dental Jatrabari, we use the latest equipment and techniques — from digital X-rays to modern root canal systems and painless injections. Our cutting-edge tools ensure faster, safer, and more accurate dental treatments.
Experienced and Certified Dentists
Experienced and Certified Dentists
At Tech Dental Jatrabari, we use the latest equipment and techniques — from digital X-rays to modern root canal systems and painless injections. Our cutting-edge tools ensure faster, safer, and more accurate dental treatments.
Clean, Safe & Hygienic Environment
Clean, Safe & Hygienic Environment
We follow international sterilization protocols and maintain a spotless clinical environment. Every tool is properly sanitized, and patient safety is always our top priority. That’s why patients feel safe and confident at our clinic.
Affordable & Transparent Pricing
Affordable & Transparent Pricing
We believe everyone deserves access to quality dental care. That’s why our pricing is affordable and clearly explained — no hidden costs. From student packages to family dental plans, we have something for everyone.
Happy Patients & Positive Reviews
Happy Patients & Positive Reviews
With hundreds of satisfied patients, Tech Dental Jatrabari continues to receive glowing reviews. Real feedback, smiling photos, and before-after results speak for themselves. Check out our 5-star ratings on Google and Facebook!